Real Results. Real Smiles.
See the transformation our patients experienced.
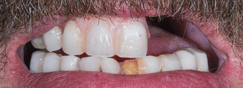
Move the slider to explore each smile transformation.
Teeth Whitening
Reveal a brighter, stain-free smile in just one or two sessions.
Dental Implants
Permanent tooth replacement designed to look, feel, and function naturally.
Braces / Aligners
Correct alignment issues and achieve a straighter, confident smile.
Smile Makeover
A customised blend of cosmetic treatments to enhance your smile.
Gum Treatment
Restore healthy gums and prevent long-term periodontal issues.
Full Mouth Rehabilitation
Comprehensive restoration for damaged or multiple missing teeth.

